Any upset in life gives an opportunity to learn. Well, that’s what wise people say. This article is about some of my recent learning when Archie was diagnosed with elbow dysplasia and osteoarthritis. It has taken me a while to publish because it has involved dealing with a lot of my own guilt in the process. I describe some complimentary therapies, along with the more traditional approaches we have used and how I felt about the whole situation. I hope that others might find something useful.
The Limp
My active 10 year-old Labrador, Archie, started limping. At first I tried resting him for a few days. That worked for a while. But the limp came back.
I asked a McTimoney Practioner to check him out. McTimoney is a chiropractic discipline which I periodically use for my dogs. Often it’s just a straightening up that’s required. My trusted practioner, Grania, gave Archie a couple of sessions, which normally would have been enough, but the lameness persisted. She told me to have him checked out by my vet.
The vet suspected canine elbow dysplasia. She thought a deformity of his elbow was causing a restriction to the joint movement and that he was showing signs of osteoarthritis. She warned that the prognosis for elbow problems in dogs was not good.
I did not handle the news well. It was devastating to learn that my active, and in my view immortal, Labrador had developed this degenerative condition. I was even more horrified that I had let it happen. My head filled with self-recrimination. I shouldn’t have played frisbee with him. I shouldn’t have trained so hard. What sort of guardian was I? I certainly didn’t want to accept it might not be fixable.
Traditional Medical Approach
We embraced the advice from the vet; anti-inflammatories and supplements, having short, managed exercise, avoiding slippy floors and keeping to a healthy weight. We also started weekly physiotherapy, all the while being told not to expect too much.
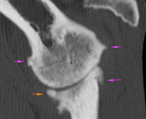
We had a CT scan done. It was expensive but I reckoned at least I would have a better idea of what the problem was.
Aside from the limp Archie seems pretty upbeat and active but the CT report listed a whole bunch of things. There was problems in his elbows, as suspected (bilateral medial coronoid disease and elbow osteoarthrosis), his back (more long names), his small intestine (a metallic object possibly in the intestinal lining – really? What IS that?) and an enlarged prostate. They do say ‘if you don’t want the answer, don’t ask the question’. On the plus side you could say I got my money’s worth. At least I have some pretty cool images to share, here’s some of them.
But there must be something I can do
My pattern of behaviour when someone dear to me has a health problem is to panic. Then I go into denial, going into overdrive researching alternative treatments. I like alternative therapies because of their holistic nature, in contrast to the standard western culture which is to ‘fix the broken bit’. I also have a habit of feeling hugely, possibly overly, responsible. This is made worse by the fact that my special interest in life is how our own emotions affect our dogs, so it MUST be my fault.
Physician Heal thyself
I know my emotions affect my dogs. If I was consumed with the feelings of guilt and shame for causing Archie’s problem it was going to be bad for both of us. In ‘Your Dog is Your Mirror’ Kevin Behan writes how the number one problem afflicting modern dogdom is human guilt.
“Energetically, it means to a dog that the person is holding back energy, and this is what a dog doesn’t trust about another being”
Kevin Behan, (2011) Your Dog is Your Mirror. Novato, California, New World Library
Could changing something in me help? How we feel, and what we do about how we feel, matters. Changing ourselves is hard. It’s a lifetime practice, as far as I’m concerned. The starting point that I find helpful comes with increasing self-awareness.
Working with Feelings
First I had to notice and accept my uncomfortable feelings, admitting to myself how bad Archie’s limp made me feel. I have tried ignoring uncomfortable feelings in the past and ‘just got on with it’. It hasn’t ended well. Sooner or later they bubble up to the surface, and the longer they have been suppressed, the bigger the explosion that results.
The trouble is, if I don’t ignore them then I have to face them – “I’m a bad dog guardian”, “I’ve done everything wrong”. That is really uncomfortable. Who likes to feel bad? That leads to judging myself and getting into a downward spiral of ‘I’m not good enough, what’s the use?’
An alternative approach I might have is to say ‘I feel really bad about this, its probably all my fault, but I’m going to make it better for Archie’ and march into battle, metaphorically speaking. All my energy goes into finding a solution to Archie’s lameness, through gritted teeth. That was my initial approach here. The trouble is, when I haven’t worked through my own issues my intention is skewed. The solution for Archie’s health is tied up with my need to feel better about myself. If he’s feeling what I’m feeling that’s a lot of pressure to put on a dog with a limp.
Eventually I started to sit with the discomfort. I listened to it, like a kind counsellor, nodding and saying to that part of me ‘yes I can see you are unhappy about that, its very difficult’. I find when I am brave enough to be honest about how I am feeling, the discomfort passes more quickly.
Other Techniques
I use journalling when I’m fretting about something. Writing down the concerns I have churning around in my head helps me join things up and can give me insights that I wouldn’t otherwise notice, so I did lots of writing.
I also used other self-help techniques, for example Emotional Freedom Technique and Jin Shin Jyutsu, to work with the emotions that were coming up (read on for more information these modalities).
The power of Visualisation
The benefit of ordering a CT scan was having pictures of what was going on. I wondered about the power of visualisation for changing situations and achieving goals.
If you’re not familiar with the power of visualisation you might find Dr David Hamilton’s book How your mind can heal your body interesting. One particular account has stuck with me. A man had been smashed up in a motor-bike accident and his doctors told him they weren’t sure he would walk again. But he had plans to run a marathon the following year. His doctors were sceptical but one of them promised to donate a substantial sum of money to his fundraising if he succeeded. Which he did. He put his recovery down in part to his focussed intention and visualisation on mending his bones. On checking his later x-rays the doctors remarked that his bones looked like they had been sanded and polished. He told them that was exactly what he had been visualising.
I know I am mixing things up a bit, like it wasn’t my limp, but I wondered if I could neutralise the gloomy prognosis the vet had given me and visualise the bones in Archie’s elbow joint re-moulding into a healthy version of themselves. I even came up with an affirmation – Archie’s elbows are healing. He is moving with ease, elegance and efficiency. Well, its worth a try.
Alternative Therapies
In my search for other therapies there are two I wanted to share. These are Debono Moves, from Mary Debono and Jin Shin Jyutsu for your Animal from Adele Leas.
Debono moves
Mary Debono has developed the Feldenkrais method (an educational system that uses movement to teach self awareness and improve function in humans) for use with dogs and horses. The approach focusses on using small gentle movements to allow the body and brain to better reconnect and let go of unhelpful movement patterns that have become habitual.
After watching a few of her free videos I downloaded her book ‘Grow Young with your Dog’. The book gives case studies of dogs that she has helped as well as access to a great resource of video and audio recordings of more exercises for you and your dog. Mary encourages you to consider how your own body is moving while you work with your dog. As I became better at this I found it a soothing practice for both of us. I also found out how stiff I am!
I arranged a couple of zoom sessions with Mary (one of those silver linings coming out of the COVID cloud, as she’s based in California and I’m in Scotland), and she coached me to work on Archie. The sessions were recorded so I can go back to them for reminders.
I do think the moves make a difference. I had noticed that Archie seemed reluctant to stretch his back legs out over the few months since his lameness started, despite the physio and painkillers. It was as if he was avoiding putting weight over his elbows. The morning after the second session with Mary he voluntarily stretched his back end when he got up in the morning. Over the last few months he has got much more confident stretching front and back.
Jin Shin Jyutsu for Your Animal
Jin Shin Jyutsu Healing Art Form
Jin Shin Jyutsu (JSJ) is another healing art form that brings balance to the body’s energies, to promote optimal health and well-being, facilitating our own profound healing capacity through our hands. It uses twenty-six “safety energy locks” along energy pathways. Each energy lock has a particular purpose. When one or more of these pathways gets blocked, our energy flow can get disrupted, causing ill health. By using our hands as ‘jumpering cables’ we can learn to harmonise the energy and release blockages.
Adele has taken the art of JSJ and developed the approach for use on other animals. Since Archie’s diagnosis I have attended an on-line 5 week training course which was a good way to become better acquainted with the practice. When I started this work with Archie I worried about which energy locks to use, fearing that I didn’t know enough. On the course Adele encouraged us to not to think too much about it and go with what feels right
JSJ with Archie
I have enjoyed my JSJ sessions with Archie and tried a daily practice for myself. I’m not so good at making time for myself but it has definitely helped me to feel calmer and more grounded.
Exploring this practice has been interesting. One day, I couldn’t put my hands where I thought I should because Archie was fidgetting. As an alternative I decided to hold the points on his elbows, (number 19, meaning ‘Authority and Leadership’, the practical use ‘harmonise/balance digestion) which he accepted, until a noise distracted him. I waited for him to settle down, but a few minutes later he moved towards me and started squatting and moving like he wanted to pooh. It was odd behaviour. The moment passed and he settled back down beside me. It seemed like energy had been moving. Other times I have just touched the energy locks on his body that he presents to me. I really enjoy learning to take his lead in this practice.
All along I have been told to keep be careful with his exercise – enough to keep his joints healthy and build up muscle that had wasted, but not too strenuous to encourage inflammation. At first we were doing three 15 minute lead walks, which was pretty demoralising for both of us. I was desperate to get something which was a bit more enjoyable for both of us.
Working Together
In the warmer months we got into a routine of a few minutes paddling up to our knees (or elbow’s in Archie’s case) in Loch Lomond, to rebuild and tone muscle (my cheaper alternative to the water treadmill), followed by a walk through woodland along part of the West Highland Way .
Conclusions
I’d love to tell you that he is totally healed, but he still limps and we have a calmer routine these days. Some days he’s better than others. I’m trying to observe with ‘compassionate curiosity’ (a term of Mary Debono’s) so that I get a feel for what works and what doesn’t.
Mary and Adele have both taken therapies that were originally developed for humans and adapted them for our animal companions. I like that we can use them on ourselves and other animals. Both teachers stress the importance of centering ourselves first, before working on any animal. If I am not calm and grounded, if I am not coming from a place of peace and harmony, then the healing will be limited.
Involving myself more in the process, rather than just handing over to the professionals has definitely been good for me. In my search to find alternative approaches for Archie I found two healing practices that I can use on myself. They are both gentle and involve quiet reflection. I find myself making more time to sit quietly, sharing space in a calmer, more connected way. This is another benefit as neither of us are very good at sitting still. Taking a conscious approach to clearing my own emotions puts me in a better mindset. It has helped me come to accept that everything doesn’t have to be perfect, the biggest ‘take home’ in all of this for me.
I hope you have found this article of interest. I would love to hear your thoughts or experiences. Please find below links to the resources mentioned in this post.
Resources
Emotion Clearing Tools
Emotional Freedom Technique
Gary Craigs’ basic recipe is a good place to start with EFT
https://www.emofree.com/nl/eft-tutorial/tapping-basics/how-to-do-eft.html
Jin Shin Jyutsu
Felicitas Waldeck’s website and book offers a good introduction to JSJ for people. I really like the simplicity of holding fingers on my hands to help with emotions in the moment.
https://www.jin-shin-fee.com/)
Visualisation
How your Mind Can Heal Your Body https://drdavidhamilton.com/my-books/
Alternative Therapies for Animals
McTimoney for Animals https://mctimoneyanimal.co.uk/
Mary Debono, Debono Moves www.marydebono.com
Adele Leas, JSJ for your animal https://jsjforyouranimal.com









